Request Appointment Call now (404) 351-8790

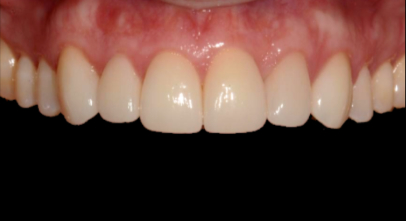
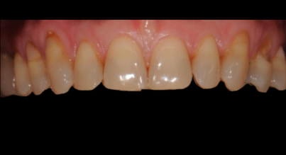
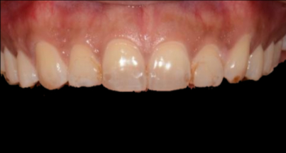
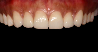
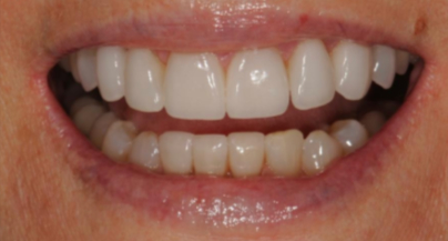
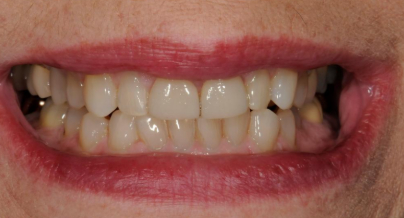
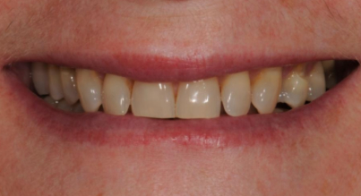
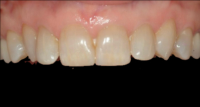
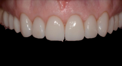
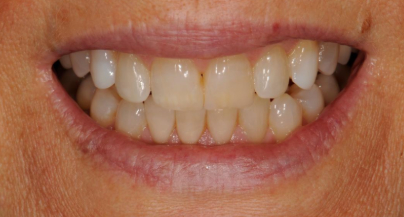
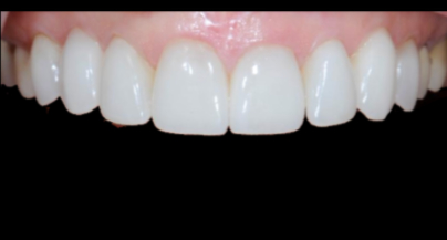
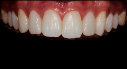
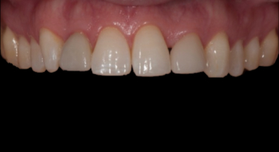
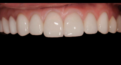
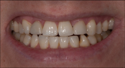
Case #1

Porcelain Veneers

Patient before veneers procedure

Before

Close-up of a person's mouth showing clean, straight, and white teeth in a smile.

After

Patient before veneers procedure

Before

A close-up view of clean, straight upper and lower teeth with healthy gums visible.

After

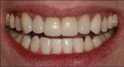
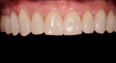
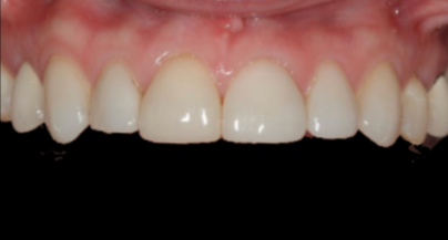
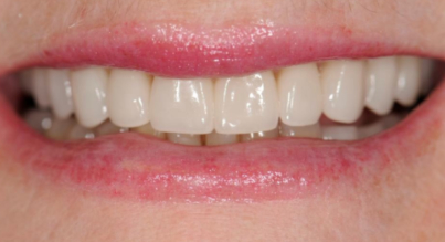
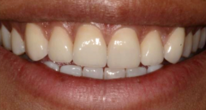
Case #2

Porcelain Veneers

Patient before veneers procedure

Before

A close-up of a person's mouth with bright red lipstick and straight, white teeth, showing both upper and lower dental arches.

After

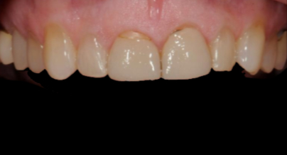
Patient before veneers procedure

Before

Patient after veneers procedure

After

Case #3

Porcelain Veneers

Patient before veneers procedure

Before

Patient after veneers procedure

After

Patient before veneers procedure

Before

Patient after veneers procedure

After

Case #4

Porcelain Veneers

Patient before veneers procedure

Before

Patient after veneers procedure

After

Patient before veneers procedure

Before

Patient after veneers procedure

After

Case #5

Porcelain Veneers

Patient before veneers procedure

Before

Patient after veneers procedure

After

Patient before veneers procedure

Before

Patient after veneers procedure

After

Case #6

Porcelain Veneer Upper
Composite Bonding Lower

Patient before veneers procedure

Before

Patient after veneers procedure

After

Patient before veneers procedure

Before

Patient after veneers procedure

After

Case #7

Invisalign · Porcelain Veneers · Crowns

Patient before Invisalign procedure

Before

Patient after Invisalign procedure

After

Patient before Invisalign procedure

Before

Patient after Invisalign procedure

After

Case #8

Porcelain Veneers

Patient before veneers procedure

Before

Patient after veneers procedure

After

Case #9

Porcelain Veneers, Gum Lift

Patient before veneers procedure

Before

Patient after veneers procedure

After

Case #10

Porcelain Veneers, Gum Lift

Patient before veneers procedure

Before

Patient after veneers procedure

After

Case #11

Smile Makeover

Patient before smile makeover procedure

Before

Patient after smile makeover procedure

After

Case #12

Porcelain Veneers

Patient before veneers procedure

Before

Patient before veneers procedure

After

Skip footer