Request Appointment Call now (404) 351-8790

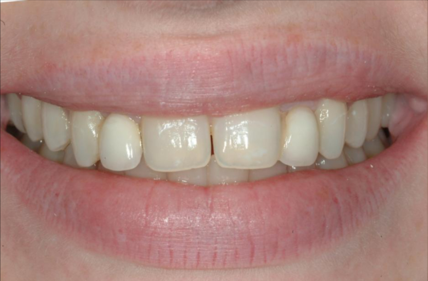
Case #1

Smile Makeover

Patient before smile makeover procedure

Before

Patient after smile makeover procedure

After

Case #2

Smile Makeover

Patient before smile makeover procedure

Before

Patient after smile makeover procedure

After

Case #3

Smile Makeover

Patient before smile makeover procedure

Before

Patient after smile makeover procedure

After

Case #4

Smile Makeover

Composite Veneers

Patient before smile makeover procedure

Before

Patient after smile makeover procedure

After

Case #5

Composite Bonding

Patient before bonding procedure

Before

Patient after bonding procedure

After

Case #6

Porcelain Veneers

Patient before veneers procedure

Before

Patient before veneers procedure

After

Case #7

Porcelain Crowns

Patient before crowns procedure

Before

Patient after crowns procedure

After

Skip footer