Request Appointment Call now (404) 351-8790

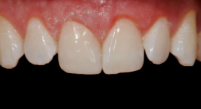
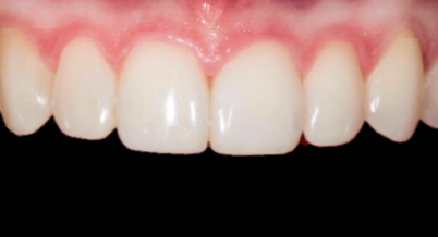
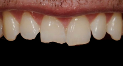
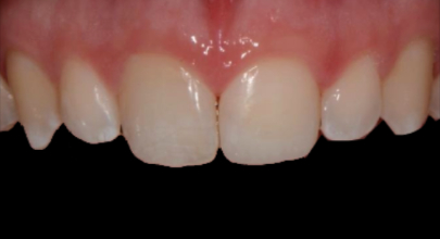
Case #1

Composite Bonding

Six Teeth

Patient before bonding procedure

Before

Patient after bonding procedure

After

Patient before bonding procedure

Before

Patient after bonding procedure

After

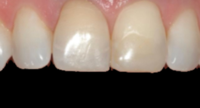
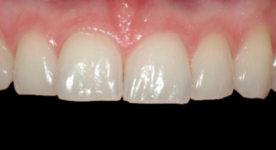
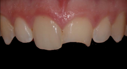
Case #2

Composite Bonding

Central Incisor

Patient before bonding procedure

Before

Patient after bonding procedure

After

Case #3

Composite Bonding

Patient before bonding procedure

Before

Patient after bonding procedure

After

Case #4

Composite Bonding

Patient before bonding procedure

Before

Patient after bonding procedure

After

Case #5

Composite Bonding

Patient before bonding procedure

Before

Patient after bonding procedure

After

Skip footer