Request Appointment Call now (404) 351-8790

Case #1

Clear Aligners

Patient before Invisalign procedure

Before

Patient after Invisalign procedure

After

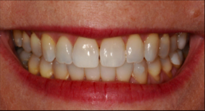
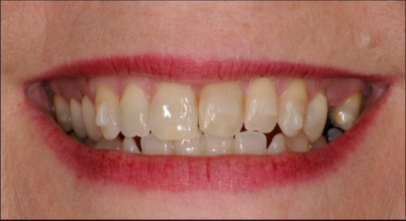
Case #2

Invisalign Therapy

Patient after Invisalign procedure

Before

Patient before Invisalign procedure

After

Case #3

Invisalign · Porcelain Veneers · Crowns

Patient before Invisalign procedure

Before

Patient after Invisalign procedure

After

Patient before Invisalign procedure

Before

Patient after Invisalign procedure

After

Skip footer