Request Appointment Call now (404) 351-8790

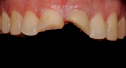
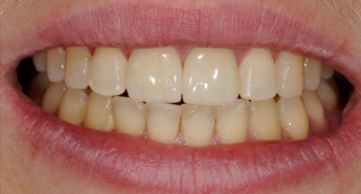
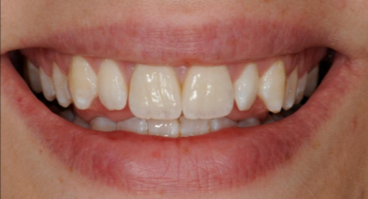
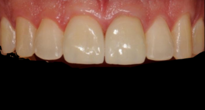
Case #1

Two Anterior Crowns

Patient before veneers procedure

Before

Patient after veneers procedure

After

Patient before veneers procedure

Before

Patient after veneers procedure

After

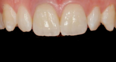
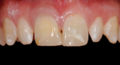
Case #2

Two Anterior Crowns

Patient before veneers procedure

Before

Patient after veneers procedure

After

Patient before veneers procedure

Before

Patient after veneers procedure

After

Case #3

Invisalign · Porcelain Veneers · Crowns

Patient before Invisalign procedure

Before

Patient after Invisalign procedure

After

Patient before Invisalign procedure

Before

Patient after Invisalign procedure

After

Case #4

Porcelain Crowns

Patient before crowns procedure

Before

Patient after crowns procedure

After

Skip footer