Request Appointment Call now (404) 351-8790

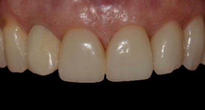
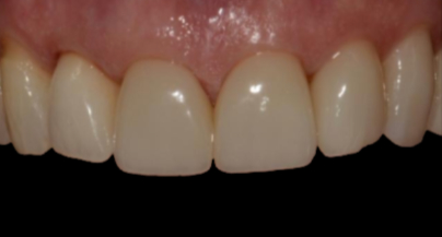
Case #1

Central Incisor

Implant Crown

Patient before veneers procedure

Before

Patient after implant procedure

After

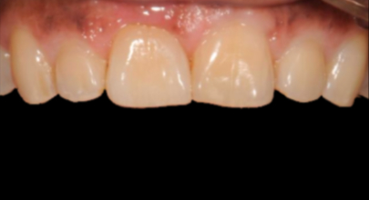
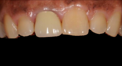
Case #2

Lateral Incisor

Implant Crown

Patient before veneers procedure

Before

Patient after veneers procedure

After

Skip footer